The Allen Brain Explorer (beta) is a browser-based 3D visualization tool to explore multimodal data in an integrated, anatomically annotated, spatial framework. This initial release allows users to explore the Allen Mouse Brain Connectivity Atlas projection data and Allen Reference Atlas (ARA) in a standardized coordinate space. Future releases will add functionality and additional data. Users are encouraged to provide bug reports or other feedback via Send Us A Message.

The following web browsers have been tested for support, using updated versions as of June 2018:
At this time, this application supports use of a clickable mouse for selecting and interacting with data.
The Allen Brain Explorer displays anatomical structures defined in the Allen Mouse Common Coordinate Framework (CCF). Briefly, this space is created using a population average of 1,675 C57/Bl6 adult mouse brains, with 662 annotated structures rendered in 3D. Refer to the CCF technical whitepaper for more details on creation and annotation of this reference atlas and spatial framework.

Open coronal, sagittal, and horizontal slice planes by clicking the Toggle Reference Planes button. Each plane displays the structural boundaries of the annotated brain areas. Drag the colored arrows to move the slice planes. A grid can be toggled to provide approximate spatial scale. Future releases will include accurate scale information.
Access and visualize brain structures by interacting with the Anatomical Ontology list. This box provides a searchable hierarchical organization of brain structures.
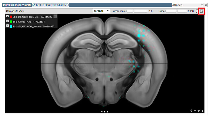
The Allen Mouse Brain Connectivity Atlas contains icons to access data via this Allen Brain Explorer viewer. Users can visualize anatomically mapped projection pathways, and explore more detailed experimental information, including image data. The Allen Brain Explorer can be accessed from three other sources throughout the Allen Mouse Brain Connectivity Atlas, using the icons highlighted in red below:



When one or more projection data sets are selected, they will be loaded into the Allen Brain Explorer, and displayed in the Virtual Tractography box. Primary data images can then be viewed by clicking either on injection site or projection site voxels and launching via the Source Image tab in the Experiment Information box. More data sets can be added to the Allen Brain Explorer view either by continuing to select data using the access described above, or by directly typing Experiment IDs into Virtual Tractography box.

Problems? Suggestions? Users are encouraged to provide bug reports or other feedback via Send Us A Message, located in the lower right of the Allen Brain Explorer, or in the footer of other pages of the Allen Brain Atlas portal. Include reference to the Allen Brain Explorer in your message.
Learn about Allen Brain Explorer Documentation with comprehensive guides and examples from Allen Institute for Brain Science.
Learn about How To Brain Explorer with comprehensive guides and examples from Allen Institute for Brain Science.